一、什么是脑梗塞?
脑梗塞,又称缺血性脑卒中,是由于脑部血液供应障碍,缺血、缺氧导致的局限性脑组织的缺血性坏死或软化。这种病症常常会导致患者出现一系列神经功能缺损的症状,如偏瘫、失语、感觉障碍等。
二、脑梗塞的预防和治疗
1. 预防:预防脑梗塞的关键在于控制危险因素,如高血压、糖尿病、高血脂等。此外,保持良好的生活习惯,如戒烟、限酒、合理饮食、适量运动等,也有助于预防脑梗塞的发生。
2. 治疗:对于已经发生的脑梗塞,早期发现和治疗是关键。常用的治疗方法包括溶栓治疗、抗血小板治疗、抗凝治疗等。此外,对于一些严重的患者,可能还需要进行手术治疗。
三、总结
脑梗塞是一种常见的脑血管疾病,对患者的健康和生活质量造成了严重影响。通过李先生的病例,我们可以看到,对于脑梗塞患者来说,早期发现、及时治疗以及合理的康复训练是非常重要的。同时,我们也应该加强对脑梗塞的预防,提高公众的健康意识,降低脑梗塞的发生率。
一、什么是呼吸衰竭?

呼吸衰竭是指由于各种原因引起的肺通气和(或)换气功能严重障碍,以致不能进行有效的气体交换,导致缺氧伴(或不伴)二氧化碳潴留,从而引起一系列生理功能和代谢紊乱的临床综合征。
二、总结
呼吸机之所以能治疗呼吸衰竭,主要是呼吸机可以提供给人身体中的氧,从而迅速缓解低氧的血症,不会引起二氧化碳在患者体内储留。呼吸衰竭对人体有着非常大的危害,不仅会造成低氧血症,还会是肺部的毛细血转屏障受到极大的破坏,造成肺水肿、出血等相关的并发症,体内的其他脏器也会由于缺氧而出现损害,所以呼吸机发挥着至关重要的作用。
医疗技术的发展以及经济水平的提高,也大多数的家用呼吸机走进了千家万户,为呼吸衰竭患者提供了治疗和预防的作用,但对其使用方面也要注意熟悉呼吸机的原理及适用症状,对于设备也要勤加消毒,正确的使用才能够发挥其真正的作用,达到预防和治疗呼吸衰竭的目的。
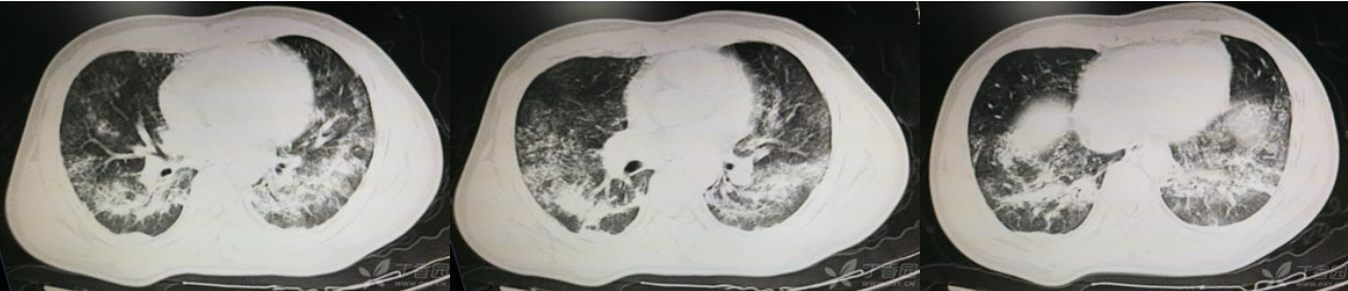
一、概念
肺部感染合并胸腔积液是一种常见的呼吸系统疾病,主要由肺部炎症引起胸腔积液积聚。该疾病可能由多种病原体引起,包括细菌、病毒、真菌等。肺部感染合并胸腔积液的症状包括咳嗽、呼吸困难、胸痛等,严重时可能导致呼吸衰竭和心功能不全。
二、临床表现
症状:咳嗽、咳痰、呼吸困难、胸痛、发热、乏力等。
体征:肺部听诊可闻及湿啰音、胸腔积液体征等。
三、诊断方法
实验室检查:血常规、尿常规、生化检查等,以评估全身状况。
影像学检查:胸部X线、CT等,以观察肺部炎症和胸腔积液情况。
胸腔积液检查:穿刺抽液进行生化、细菌学、细胞学等检查,以明确积液性质。
四、治疗方法
针对苏某的病情,制定了综合治疗方案,包括以下几个方面:
1. 抗感染治疗:采用抗生素,抗病毒,止咳化痰,利尿等药物治疗,以控制肺部炎症,减少胸腔积液的产生。
2. 对症治疗:注意休息,吸氧,体位引流来减轻临床症状。
3. 营养支持:给予患者高蛋白、高热量、易消化的饮食,以提高患者的免疫力,促进康复。
经过一个疗程的治疗,苏某的病情得到了明显的改善,肺部炎症得到控制,胸腔积液量明显减少,气急等症状也有所缓解。
五、预防措施
肺部感染合并胸腔积液的发生与多种因素有关,如免疫力低下、吸烟、慢性肺部疾病等。因此,预防该疾病的发生至关重要。以下是一些预防措施:
1. 加强锻炼,提高身体免疫力。
2. 戒烟限酒,减少对肺部的损伤。
3. 积极治疗慢性肺部疾病,如慢性支气管炎、肺气肿等。
4. 注意个人卫生,避免接触病原体。
六、结语
肺部感染合并胸腔积液是一种严重的疾病,需要及时诊断和治疗。加强预防措施,减少疾病的发生。同时,也希望广大医务工作者能够加强对该疾病的研究和治疗,为患者提供更好的医疗服务。让我们共同努力,为健康中国贡献力量。